Til hovedinnhold
Norsk English

Bildeveiledet nevrokirurgi

Hovedmålet er å få ny kunnskap om sammenhengen mellom kliniske og radiologiske funn, sykdomsforløp og behandlingsrespons hos hjernesvulstpasienter. Dette vil kunne føre til mer persontilpasset behandling. Vi bruker maskinlæring til å trene modeller for automatisk bildeanalyse og prediksjon av overlevelse og behandlingsrespons basert på data fra den enkelte pasient i kombinasjon med data fra hundrevis av tidligere pasienter.

Kontaktperson

Omtrent 1000 personer får kreft i sentralnervesystemet i Norge hvert år. Hjernekreft er den krefttypen med høyest dødelighet hos personer under 40 år og en av de vanligste krefttypene hos barn. Svulstene er svært forskjellige og det er stor variasjon i aggressivitet, vekstmønster og behandlingsrespons. Symptomer og prognose varierer mye og kan være vanskelig å forutsi selv for erfarne leger. For å få bedre kunnskap om sammenhengen mellom egenskaper ved svulsten, symptomer, sykdomsforløp og behandlingsrespons ble Midtnorsk hjernesvulstregister og biobank etablert i 2015 av klinikere og forskere ved St. Olavs hospital og NTNU. Basert på data fra dette registeret, sammen med data fra nasjonale og internasjonale samarbeidspartnere, utvikler forskere ved SINTEF modeller for automatisk bildeanalyse samt prediksjon av prognostiske faktorer og sykdomsforløp basert på kunstig intelligens og maskinlæring.

Vi bruker dyp læring til å:

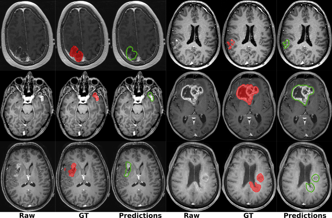
(1) Utvikle verktøy for kvantitativ radiologisk vurdering av hjernesvulster. Dette inkluderer segmentering av pre-operative, intra-operative og post-operative MR/US/CT bilder for å

a. Karakterisere svulstens volum og plassering i hjernen.
b. Karakterisere reseksjon av svulsten under kirurgi.
c. Måle restsvulst etter kirurgi
d. Predikere behandlingsrespons på stråling og cellegift.
e. Predikere og måle gjenvekst av svulsten

(2) Kombinere kliniske og radiologiske data for å predikere overlevelse og funksjonsnivå etter behandling.

Nøkkelinfo

Prosjektstart

2011

Finansiering

Nasjonal kompetansetjeneste for Ultralyd og Bildeveiledet behandling

Partnere

St. Olavs hospital og NTNU

Prosjekttype

Nasjonal kompetansetjeneste

Utforsk fagområdene

Relevante lenker


Åpen programvare utviklet i prosjektet: 
GSI-RADSMRI brain tumor segmentation


Kompetansetjenesten for ultralyd og bildeveiledet behandling

Prosjektmedarbeidere