– Kan bli en ny kur mot lungekreft

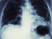
Røntgenbilde av pasient med lungekreft. Dette er den kreftformen som tar flest liv i Norge. Forskere ved SINTEF har nå utviklet en nanomedisin som viser svært lovende resultater. Foto:...
Røntgenbilde av pasient med lungekreft. Dette er den kreftformen som tar flest liv i Norge. Forskere ved SINTEF har nå utviklet en nanomedisin som viser svært lovende resultater. Foto:...
SINTEF Industri bidrar med nye forskningsresultater og kunnskap i flere sentrale debatter på Arendalsuka i år. Hvert år møtes norske aktører innen politikk, næringsliv,...
Slepetanken på Tyholt, Trondheim, åpner igjen denne våren etter installasjonen av en splitter ny bølgemaskin. Med byggingen av det nye Havteknologisenteret har Slepetanken periodevis...
Nye brannforsøk gir mer kunnskap om brann i bygg med massivtre. Foto: FRIC Standard Synlig massivtre er populært i mange nybygg. Bruken av trematerialer gir et godt klimaregnskap, tre er...
Ungdommene fra Bjølsen skole bruker gamle fliser og teglstein til å skape noe nytt. Foto: Kathrine Nitter / SINTEF Standard – Du kan tolke greia selv, det ligger ikke noen spesiell tanke...
I dag finnes det ingen samlet oversikt over hvor mye plast og hvilke plasttyper som finnes i ulike sektorer. Illustrasjonsfoto: iStock Standard I dag bruker vi en lang rekke forskjellige...
Teknologien Flash-LIDAR kan være nøkkelen til både månelandinger, satellittreparasjon og opptelling av fiskestimer. Kameraet ga oss gode tredimensjonale bilder nærmest ved...
Etter mange år som forsker i SINTEF ble seniorforsker Truls Gjestland 16. mars tildelt Kongens fortjenestemedalje. Den betydelige innsatsen som frivillig for Studentersamfundet i Trondheim...
He er en 3D-pronter i aksjon. I dag kan teknologien erstatte produksjonsmetoder som før var veldig kompliserte. Foto: Istock/krill4mula Standard Du har kanskje sett eller testet ut en...
Sentrale organisasjoner innen forskning og utdanning, næringsliv og forvaltning går sammen og danner et viktig forum for forvaltning og deling av havdata. Deling av havdata Formålet...
SINTEF og Grønn Byggallianse skal samarbeide for å måle miljøavtrykket i bygg-, anlegg- og eiendomssektoren i Norge. En viktig del av arbeidet vil bli å publisere årlige...
I gjennomsnitt forbruker hver nordmann ca. 15 tonn pukk og grus hvert eneste år. Mye av massene kunne vært gjenbrukt i andre byggeprosjekter, men manglende oversikt hindrer gjenbruk, viser...
Det viser årets Young Professional Attraction Index (YPAI) fra Academic Work. Kun en gang før har unge norske talenter pekt på en norsk arbeidsgiver som mest attraktiv. SINTEF har vært...
Industri har store energibehov, gjerne i form av både varme, elektrisitet og råstoff i produksjonsprosessene. Ved å samlokalisere industri i klynger kan man dele på ressursene,...
Hvis verden skal mette ni milliarder mennesker innen 2050, må det tenkes nytt. Det er enorme matmuligheter i havet. Norge har et stort fortrinn med vår lange kystlinje og ikke minst erfaringene...
SINTEF vil utstede personsertifikatene for radontjenester, og de første sertifiseringskursene avholdes i november i år. Omkring 300 nordmenn dør årlig av lungekreft som følge...
En ny rapport fra SINTEF viser hvordan slake, luftede tretak med innvendig nedløp for takvannet kan utføres. Begrepet slake, luftede tretak omfatter tak med takvinkel 10° eller lavere,...
Samarbeidsavtalen bidrar til lett tilgjengelig produktdokumentasjon for byggenæringen. SINTEF og Byggtjeneste har siden 2015 samarbeidet om distribusjon av SINTEF-dokumentasjon gjennom...
Et toårig forskningsprosjekt skal bidra til en mer bærekraftig ressursutnyttelse, et lavere klimaavtrykk, og økt samarbeid og konkurransekraft rundt Norges nasjonalbergart larvikitt....
Forsikringsselskapene opplever en økning på forfalskede skader i forsøk på svindel. Det hele er spesielt skummelt når vi vet at falske nyheter sprer seg ti ganger raskere...