
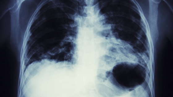
– Kan bli en ny kur mot lungekreft
Nanomedisin med gassbobler har vist seg å være en unik måte å transportere cellegift inn i lungene til kreftpasienter. Metoden gjør presis og konsentrert behandling mulig – og hindrer samtidig en rekke bivirkninger fordi den bare virker lokalt.